为了规范科技论文中的插图,提高其可读性,阐述科技论文中插图的分类、组成要素,并通过举例说明编辑加工插图时需要注意的相关事项,以期充分发挥插图对论文的辅助作用,也为作者和编辑同行提供借鉴。
编辑加工是编辑工作流程的一个重要环节,也是保证期刊质量的一项重大工程。在整个编辑工作流程中,编辑扮演着重要角色,肩负着“把关”的责任。编辑加工的范围包括内容加工、技术加工和文字加工三个方面,其中插图的编辑加工属于技术加工范畴。插图是科技论文的重要组成部分,虽然文字内容是科技论文的主要表述手段,但作为辅助表述手段的插图可以直观、清晰、准确、快捷地展示科学思想和技术知识,与文字表述内容相互呼应,补充说明文字表述内容,便于读者理解内容。插图的质量对于科技论文来说十分重要,高质量的插图能令人耳目一新,可以作为评价论文写作水平高低的指标。然而,当前很多论文中的插图还存在不规范、不合适或不完善的情况。笔者阐述了科技论文中插图的分类、组成要素及编辑加工时的注意事项,并列举了相应实例,希望能为作者和编辑同行提供借鉴。
插图的分类
科技论文中插图的种类很多,根据图形的表现形式大致可分为两大类,即线条图和照片图。每种图包含很多类型,笔者以《黑龙江畜牧兽医》这本杂志作者投稿论文中的插图为例,并结合自己日常工作中的编辑加工经验,对插图进行总结划分,认为线条图包括坐标图(柱形图、曲线图、气泡图、火山图等)、流程图、聚类图、结构示意图、电子线路图等;照片图包括解剖图、电镜图、电泳图、染色图等。
插图的组成要素及编辑加工的注意事项
科技期刊中的插图和文字是相互配合的,以文字说明插图,以插图补充文字难以表述的内容,因此,插图中展示的所有信息都要准确无误,但插图又不完全等同于工程制图,只要能突出主题,简洁、醒目即可,切忌含糊不清,也不可臆造或画蛇添足。排版样式一般为“文主图辅”,遵循“文先图后”的规则,在正文中先出现“如图……所示”“见图……”等字样,然后再展示插图,并且插图尺寸、布局要合理,要尽量做到与引出文字的距离不要过远。插图的展示既要考虑到读者的阅读习惯,又要符合读者的审美,它就像作者论文中的一件“艺术品”,需要作者的反复推敲和编辑的标准化处理,最后成为呈现在论文中的“视觉语言”。
线条图
线条图中的坐标图是科技论文中常见且典型的插图,下面以坐标图为例概述线条图的基本要素。该类型图的主要要素有坐标轴、标值线、标值、标目、主图、图注、图序和图题等信息。
坐标轴包括横轴和纵轴,一般科技论文均以标值大小来表示增量的方向,此时没有必要在给出标值的同时又在坐标轴上附加箭头标志,本文仅介绍末端均不加箭头的情况。
标值线是坐标轴上的刻度线,也是靠近坐标轴线处残留的一小段短线段,一般只在坐标轴上保留少量必要的标值短线,要求间隔相等,排列整齐,长短一致,标值线的方向遵循横轴向上、纵轴向右的原则。在对应的标值线上标注标值时既不应过于密集,又不应过于稀疏。如果标值代表的是数字,那么数字的书写要尽量保持一致,如均用整数、相同有效数位的小数等;如果标值代表的是文字,那么文字的书写形式要一致,如组别名称、基因名称等。
标目一般由两部分组成,即由物理量的名称或符号和相应的单位组成,但也存在没有单位的情况,此时需根据图形内容标注其含义,如组别。物理量的符号按照《中华人民共和国国家标准——量和单位》(GB 3100~3102—93)中给出的斜体字母标注,单位按照国际通用字符标注,如T/℃、M/(mol·L-1)等,此外标目的排版要与坐标轴平行。
图注多以简洁准确的文字解释说明主图中标注的各种符号含义及需要特别说明的内容。图注的长度不要超过图的宽度,位于主图与图题之间,且居中排版。图序与图题之间保留1个字距的空位,图序码使用阿拉伯数字(如图1、图2、图3等),如果插图由多个分图组成,那么每个分图都要加图序码,可使用字母(如A、B、C等)进行区分,并在分图坐标轴的正下方排版,分图的图题可有可无。需要注意的是主图和分图的图序码都要编码有序,即按照插图在论文中出现的先后顺序递增式编排序号。图题要简短精练,能够准确表达图形所要展示的内容,有较好的说明性和专指性,同时还要与文字表述内容相呼应。图题的长度不要超过主图的宽度,与图序码共同排于主图的正下方,且不得与主图分离。
照片图
照片图分为彩色照片图和黑白照片图,包括的要素有主图、图注、图序、图题、标尺或放大倍数、方向等信息。主图展示的图片要清晰,画面整洁,色调深浅适中。图注、图序和图题与线条图的编辑加工要求一致,需要注意的是,图注的书写要按照从左到右的顺序解释说明主图中标注的各种符号的含义,如电泳图图注中各泳道的含义应按照从左到右的顺序进行说明。科技论文中的部分照片图(如电镜图)需要放大处理,目的是便于观察细微结构,因此需要标注相应的放大比例,标尺的作用就是标注实物与像的尺寸关系,一般排在图片的右下角。照片图无需特别强调图片的完整性,而是要根据文字表述的需要着重展示核心内容,图片中的影像和文字要清晰,像素要高,必要时可适当裁剪,这样既能节省版面,又能达到画龙点睛的效果。
插图常见问题的实例分析
为了能够比较直观地说明插图中存在的问题,笔者从《黑龙江畜牧兽医》投稿论文中选择典型插图,并对其进行了微调整,使错误事项更突出,下面按照插图分类列举实例分析插图中常见的问题。
线条图
线条图的图形变化形式多种多样,论文作者在处理线条图时很容易顾此失彼,经常出现标线方向有误、漏写标目、单位书写错误、图注等信息丢失的情况,具体问题见示例1。
示例1:

图1 脾脏中IL-1β和IL-18浓度的检测结果(投稿作者提供,笔者微调)
从示例中可以看出其存在多处错误:坐标轴标值线方向不正确,没有遵循横轴向上、纵轴向右的原则。就此种情况,笔者曾与作者进行过探讨,多数作者并不认为这是错误的,给出的答复几乎一致,插图均由科研仪器或软件自动生成,作者根本没有想到需要对图形进行标准化处理。正确的标值线方向是均改至第一象限内。
该示例纵轴相邻的两个标值线间隔不等距,这种错误会给读者造成困惑,产生歧义,大体存在两种可能性:一种是插图中的3个条形柱可能被截短,在横轴以下还应该有条形柱,此时水平下移横轴露出隐藏的条形柱即可;另一种是横轴位置正确,纵轴标值线上的标值位置不正确,需要重新标注。因此,插图中存在标值线间距不等的问题时必须进行修改。该示例纵轴上的标值线存在两种规格,即长标值线和短标值线,短标值线上没有相应的标值,因此建议只保留有标值的长标值线,这样处理可使标值线之间的间距合适,标值线排版不至于过密。
纵轴标目中单位的书写格式不正确。该示例纵轴标目由两部分组成,物理量的名称为“IL-1β水平或IL-18水平”,相对应的单位为复合单位“pg/mL”,由于物理量名称与单位之间要用“/”分隔,“/”在数学式中作除号用,而同一行中的“/”不能多于1条,因此该示例中的单位应改为“pg·mL-1”。横轴标目中缺少各条形柱图代表内容的总名称,即缺少物理量的名称,根据各条形柱代表的含义应补加标目名称“组别”。
该示例由2张分图组成,其中的图序码应排在分图的正下方,若放在现在的位置易被误认为是主图中标注的符号。编辑在编辑加工时,若不认真推敲,很容易弄错。示例中每张分图的条形柱上标有柱标“*”或“**”,此类符号一般是要表述统计学分析结果,但该示例的这种标注方式无法直接体现各组的显著性差异情况,应以对照组为参照,并将代表显著性水平的符号“*”或“**”标注在试验组相应的条形柱上方。此外,该示例中缺少图注内容,对于主图中的符号“*”或“**”应进行解释说明。经修正后的示例1如下。
修正后的示例1:

A IL-1β B IL-18
注:与对照组比较,柱标*表示差异显著(P<0.05),**表示差异极显著(P<0.01)。
图2 脾脏中IL-1β和IL-18浓度的检测结果(修改后)
照片图
科技论文中的照片图无须追求艺术性,只要图片清晰且能真实体现文字表述内容即可。虽然编辑加工时需要注意的事项不多,但部分作者提供的图片还是存在一些问题,如图片为整图,而文字描述的仅是图中部分内容,没有对图片进行剪裁处理;未在图上标注标尺信息;漏标图注信息等。具体问题见示例2和示例3。
示例2:

B PBS诱导 C LPS诱导
图3 透射电子显微镜观察结果(投稿作者提供,笔者微调)
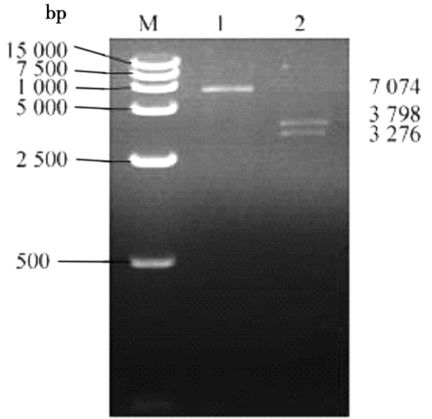
示例3:

1.单酶切;2.双酶切;M.DL-15 000 Marker。
图4 过表达载体的酶切鉴定结果(投稿作者提供,笔者微调)
示例2中存在的问题是:图上未加标尺,无法确定LPS诱导培养后细胞的大小变化情况;分图的图序码应按照26个英文字母顺序,以字母“A”为起始字母进行使用,而不是随机使用;图题过于简单,表述不够贴切,未能明确指出图中描述的主体是什么,应结合图片及文字表述内容准确描述。
示例3中存在的问题是:图注顺序与主图符号顺序不一致,应按照从左到右的顺序逐一说明其代表的含义;M泳道中的各条带均以连接线将条带与对应的长度数值相连,而泳道1和泳道2中的各条带与长度数值未加连接线;各条带对应的长度数值要准确无误,“7500”下面的数值是“1000”,显而易见一定是作者书写错误;各条带长度后面应标注相应的单位符号,且数值与单位之间的间距为1/4字空,而示例中的单位“bp”排在了整张图片的左上方。从美观角度及所占版面大小来看,图中500bp条带下面的图片未体现出有意义的信息,可将其裁掉。经修正后的示例2和示例3如下。
修正后的示例2:

A PBS诱导 B LPS诱导
图5 外周血来源树突状细胞的透射电子显微镜观察结果
修正后的示例3:

M.DL-15 000 Marker;1.单酶切;2.双酶切。
图6 过表达载体的酶切鉴定结果
插图的质量对于科技论文来说非常重要,它也是衡量论文质量好坏的因素之一。插图作为文字内容的辅助手段,与文字内容相互配合共同展示作者要表达的思想,规范且美观的插图有助于读者深刻理解作者表述的文字内容,可以提高论文的可读性。目前,很多作者比较重视论文体现的科研成果,或者只重视论文的文字书写,认为插图是科研仪器或软件输出的图片,原图就这样,无须修改,并没有认识到论文中的插图也需要符合相应的国家标准,致使论文中插图不规范的情况较普遍。编辑要有敏锐的眼力,秉持科学严谨的工作态度,对插图产生疑问时要及时与作者沟通,不放过任何一处瑕疵,同时还要加强对标准化知识的学习,并善于归纳总结实际工作中插图存在的问题,不断积累经验,从规范化和可读性角度出发,对插图严格把关,进而将标准、美观、简洁、清晰明了的插图呈现在论文中,让作者论述的内容更通俗易懂,充分发挥科技论文中插图的辅助作用。
参考文献
[1]中国科学技术期刊编辑学会.科学技术期刊编辑教程[M].2版.北京:人民军医出版社,2007.
[2]陈浩元.科技书刊标准化18讲[M].北京:北京师范大学出版社,1998.


























